一直關(guān)注著卡瓦的這次活動,也一直沒有勇氣參加。昨天去杭州聽了一場關(guān)于樹脂修復(fù)的講座,碰巧今天遇到這個病例,便按照教授的方法做了一例。在此,與大家分享。
患者,女,28歲,前牙原充填材料脫落來診。
檢查:21遠中22近中充填物脫落,色暗,21牙冠變色
治療方案:1:21樹脂美容性修復(fù)
2:22一次性根管充填,建議冠套修復(fù)(患者考慮經(jīng)濟因素,強烈要求先充填)

22根尖區(qū)陰影,但是該牙未見明顯不適,所以行一次性根管治療(插針片和根充片如下)

根充完成后取模
在模型上嵌體蠟恢復(fù)外形


外形恢復(fù)后,制作硅膠導板

硅膠導板完成后,酸蝕牙齒

在硅膠導板上制作背板

背板完成

分層充填,其中背板我用的是GC的幻彩樹脂,中間用的KERR的樹脂

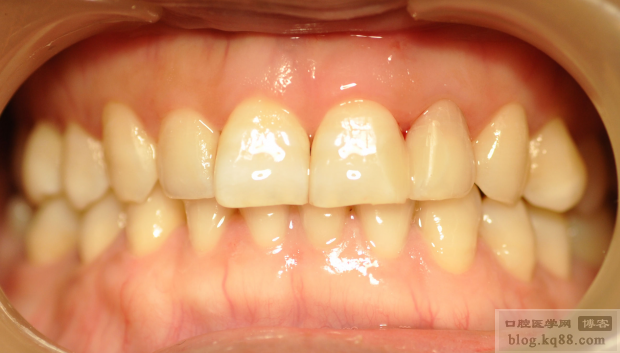
下面是充填完成還未進行調(diào)磨的照片

調(diào)磨拋光后,21的顏色稍微還有一點色差,自己不是很滿意,但是患者已經(jīng)很滿意













